胡迪医学 Hudi Medical Science

胡迪医学

人工智能解读医学影像技术,中国走在世界前列

原创 胡迪医学 健瑞宝 / 浏览量:4009 / 发布时间:2017-12-29

11月20日世界《数字杂志》报道,人工智能(AI)在医疗领域的应用取得了很大进展,中国,在各国争先恐后的角逐中异军突起,尤其在人工智能解读医学影像数字技术方面,走在世界前列,为肺癌筛查提供了技术保障。


当今世界,零售商业,在“多、快、好、省”这四个方面展开激烈的竞争,而在医疗领域,竞争格局发生在“精准、安全、快捷、微创和节省”这些因素上,其中“准确”是最重要的因素。


中国是烟民大国,也是癌症大国,全球每年新发生癌症病人,1/4在中国。肺癌是中国发病率和死亡率最高的疾病,每年有75万新发病病人。中国有3亿烟民,在工业地区有严重的空气污染,这是造成肺癌在大、中、小城市发病率逐年上升的主要因素。大部分病人就诊时,已经是晚期肺癌,就目前的医疗水平,5年生存率比较低,仅30%。临床已经证实,肺癌早期发现,早期诊断,早期治疗,治愈率极高。


美国癌症学会2017年制定的《肺癌筛查指南》提出,年龄在55-77岁人群中,现在或曾经有每天一包有30年吸烟史或更多的人群,或在过去的15年内有连续吸烟或已经戒烟的人群,每年需要做胸部低剂量CT(LDCT)筛查检查。低剂量CT(LDCT)检查,目前是肺癌筛查的金标准。


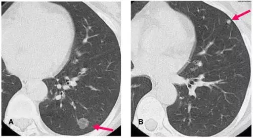
片来自Internet


一次肺部CT扫描产生200-300张片子,一个放射科医生全神贯注检查30个人的CT片子,需要150-180分钟。一家三甲医院平均每天接待200例左右的肺结节筛查患者,放射科医生每天至少需要读片4万张。这可以说是一种“劳役”般的工作,稍有疏忽,就会影响到诊断的准确率。


图片来自Internet


人工智能技术在医疗领域的应用,将极大地提高诊断的“准确率”,中国在肺癌诊断领域走在了世界前列,其突出优势表现在准确率达到90%以上,读片效率比人工读片提高5倍以上,基本上一分钟可以阅读一个病人的CT片。迅速读片出报告,可以大大减轻放射科医生读片劳苦,并且可以节省胶片等耗材的使用费用,如果广泛使用,可以缩小大小医院诊断水平的差距,让三、四线城市和乡村的病人享受到大医院的诊断水平。


人工智能利用互联网技术,连接基层拍片的医疗机构,快速给出参考结论,基层百姓能大大降低看病成本。


如果国家大力推广肺癌高危人群进行筛查的话,人工智能将体现出其极大的优势,可以极大地减轻医生的劳动负担。


然而,这是否能代替放射科医生的读片工作?目前仅能作为临床诊断参考,仍需要人工去核实,根据临床指南一一对照给出最后诊断结果。